Un cabinet à la pointe de l’innovation
Nous vous accueillons du mardi au samedi à Maisons-Alfort. Nous prenons en charge l’ensemble des traitements et soins orthodontiques pour adultes, enfants et adolescents, de la pose d’aligneurs invisibles Invisalign à la mise en place de brackets classiques.
Afin de vous proposer les solutions les plus adaptées, nous réalisons également nos gouttières sur-mesure, dans notre propre laboratoire.
Notre cabinet est facilement accessible en métro, RER, bus et dispose d’un parking à proximité.
Pour tout renseignement ou toute question, n’hésitez pas à contacter notre secrétariat au
01 43 53 26 06
Dr. Laure-Hélène Toledano
Chirurgien-dentiste spécialisée en orthodontie dento-faciale, Le Dr Laure-Hélène Toledano est titulaire de l’European Master of aligners Invisalign. Découvrez ci-dessous l’ensemble de ses diplômes :
- Certificat d’études Supérieures en Orthopédie Dento-Faciale
- Certificat d Etudes Cliniques Mention Orthodontie (C.E.C.S.M.O.)
- Diplôme Universitaire d’Orthodontie Linguale
- European Master of aligners (certification Invisalign)
- Ancien attachée de l’hôpital Robert Ballanger
- C.E.S. Chirurgie dentaire – Orthopédie dento-faciale – Université Paris 7 – Diderot
- Inscription à l’Ordre n°94-4-17036-4
L’orthodontie adulte
L’orthodontie n’est pas réservée aux adolescents. Améliorer sa santé dentaire et l’esthétique de son sourire, c’est possible à tout âge !
Découvrez les différentes techniques d’orthodontie que nous proposons (aligneurs invisibles réalisés sur-mesure, orthodontie linguale, bagues transparentes…).
Enfants
Vous pouvez consulter un orthodontiste avec ou sans recommandation d’un dentiste traitant.
Adolescents
L’adolescence constitue la période idéale pour entreprendre la plupart des corrections orthodontiques globales.
Invisalign
Transformez votre sourire sans compromettre votre style avec Invisalign – la solution discrète pour des dents droites et éclatantes !
Première visite au cabinet
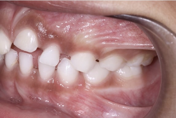
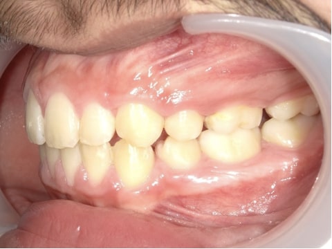
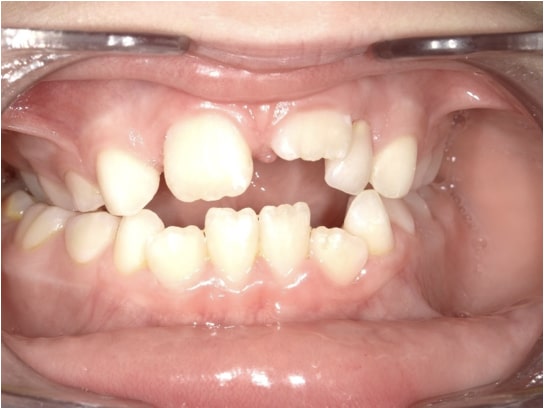
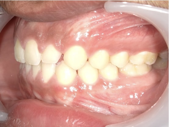
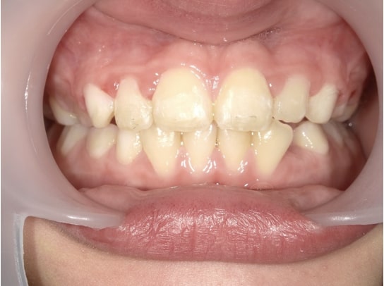
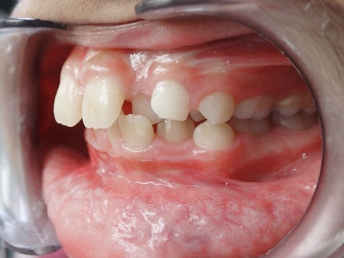
Nos sourires
Découvrez les résultats obtenus chez nos patients, sur le plan esthétique et fonctionnel, suite à la mise en place de traitements d’orthodontie.
Notre objectif : leur offrir un sourire radieux et une meilleure qualité de vie.
Quels sont les avantages d'un traitement d'orthodontie ?
L’un des principaux avantages du traitement orthodontique est d’améliorer l’apparence du sourire. En corrigeant les problèmes de positionnement des dents, le traitement permet d’obtenir un sourire droit et harmonieux, ce qui peut renforcer la confiance en soi et l’estime de soi.
Les dents bien alignées sont plus faciles à nettoyer et à entretenir. Un traitement orthodontique permet de corriger les problèmes de mauvaise occlusion, de décalage ou de chevauchement des dents, ce qui réduit le risque de caries, de maladies des gencives et d’autres problèmes bucco-dentaires à long terme.
Lorsque les dents sont correctement alignées, la mastication est plus efficace. Cela peut améliorer la digestion et permettre aux patients de mieux profiter de leur alimentation.
Certains problèmes d’alignement des dents peuvent affecter la prononciation des mots. Un traitement orthodontique peut aider à corriger ces problèmes, ce qui se traduit par une meilleure élocution et une communication plus claire.
Les dents mal positionnées sont plus susceptibles de subir des traumatismes lors de chocs ou de contacts accidentels. Un traitement orthodontique peut aider à aligner les dents de manière à réduire ce risque.
Les dents jouent un rôle essentiel dans l’harmonie globale du visage. Un traitement orthodontique peut contribuer à rétablir cet équilibre facial en corrigeant les problèmes d’alignement dentaire.
Dr Tolédano Laure-Hélène - Orthodontiste spécialiste - Praticien certifié Invisalign 252 avis GooglePublié sur H Martin11 Mai 2025Trustindex vérifie que la source originale de l'avis est Google. Même si le traitement fut long, je ne regrette absolument pas d'avoir fait appel aux soins d'orthodontie pour retrouver mon sourire. Étant adulte, Invisalign a été la solution parfaite ! De plus, le cabinet s'est toujours montré arrangeant malgré mes contraintes professionnelles. Un grand merci !Publié sur E Gdn10 Mai 2025Trustindex vérifie que la source originale de l'avis est Google. Je tiens à remercier le Docteur Tolédano et toute son équipe pour leur professionnalisme et leur gentillesse durant mes 2 années de traitement.Ils ont su être à mon écoute et répondre à mes attentes.Prise de rendez-vous assez rapide et equipe toujours souriante, je recommande vivement ce cabinet.Publié sur F C26 Mars 2025Trustindex vérifie que la source originale de l'avis est Google. 15 ans après la fin du traitement de mon fils pour qui le résultat laisse toujours place à un sourire de star, c'est mon tour ! Contention ce jour et un résultat bluffant avec un accompagnement professionnel et toujours dans la bonne humeur. Dr Toledano et son équipe : je recommande !!! A présent, en route pour un blanchiment !!! Encore merci 🙏Publié sur O Ak4725 Mars 2025Trustindex vérifie que la source originale de l'avis est Google. Un grand merci à toute l'équipe et particulièrement au Dr Toledano par son professionnalisme elle m'a rendu mon sourire 😃 je n'y croyais plus... Après avoir consulté tant d’ortho !!!! Très à l'écoute elle a su m'expliquer mon réel problème, j'ai terminé mon traitement et j'en suis très satisfaite. Je la recommande le final est incroyable. Ces assistantes sont d'une gentillesses, toujours souriantes et agréables. Merci à vous Dr Toledano 🫡Publié sur H Deborah25 Mars 2025Trustindex vérifie que la source originale de l'avis est Google. Je recommande le Docteur TOLEDANO qui a réalisé un travail formidable sur mes dentsPublié sur S Saber12 Mars 2025Trustindex vérifie que la source originale de l'avis est Google. Super équipe, je recommande !Publié sur Y Hazan10 Mars 2025Trustindex vérifie que la source originale de l'avis est Google. Tout était parfait, merci pour tout !Publié sur B sarah4 Février 2025Trustindex vérifie que la source originale de l'avis est Google. Un service de qualité, attentif au détail et à l’écoute de ses patients. Merci Docteur Toledano!
Nous répondons à toutes vos questions
Vous vous posez des questions sur l’orthodontie : le parcours de soins, le bialn, les différents traitements… Le Dr Laure-Hélène Tolédano met à votre disposition une Foire Aux Questions claire et accessible.
Nous trouver
Adresse
- 29 avenue de la République 94 700 Maisons-Alfort
Horaires du cabinet
- Mardi : 10h00 – 13h00, 14h00 – 19h30
- Mercredi : 10h00 – 19h00
- Jeudi : 14h00 – 19h00
- Vendredi : 11h00 – 13h00, 14h00 – 19h30
- Samedi : 09h00 – 12h00, 13h00 – 16h00
Moyens de transport
- Métro – Maisons-Alfort-Stade (ligne 8)
- RER – Gare de Maisons Alfort Alfortville (ligne D)
- Bus – Republique – Blum (lignes 172, 217 et 372)
Parking public
- Parking du cimetière
19 Avenue de la République, Maisons-Alfort