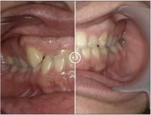
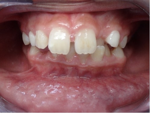
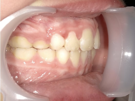
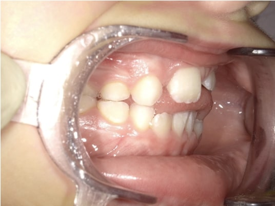
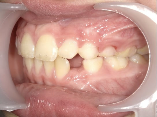
Invisalign avant/après de Olivia C.
Olivia s’est présentée en consultation d’orthodontie pour adulte avec une mâchoire supérieure vers l’avant, créant un encombrement important à l’arcade supérieure et inférieure.
Le plan de traitement simplifié retenu a été le suivant : un traitement avec des aligners Invisalign. Le traitement a duré 18 mois. Des fils de contention rigides ont été disposés en haut et en bas de canine à canine sur les surfaces linguales. Une contention a été mise en place à la fin du traitement, afin de maintenir les résultats obtenus.
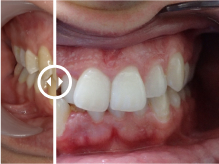
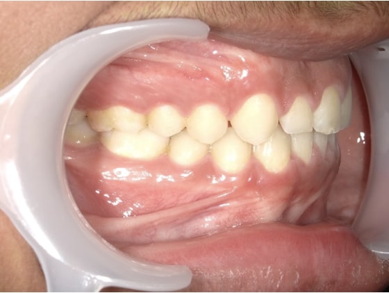
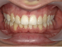
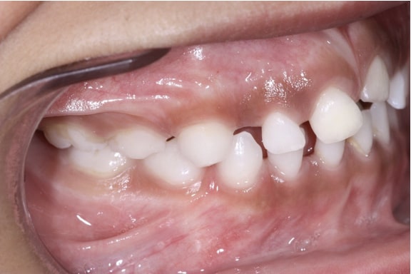
Invisalign avant/après de Carla S.
La patiente s’est présentée en consultation d’orthodontie pour adulte avec une arcade supérieure en articulé inversé avec l’arcade inférieure.
Elle a été traité pendant 2 ans avec la technique Invisalign, avec un port de gouttière 22h/24h et un changement de gouttière tous les 15 jours.
D’autres cas de traitement d’orthodontie
Cas 1
Cas 2
Cas 3
Adultes
L’impact social et professionnel d’un joli sourire pousse désormais les adultes à se lancer dans un traitement orthodontique.
Invisalign
Transformez votre sourire sans compromettre votre style avec Invisalign – la solution discrète pour des dents droites et éclatantes !
Enfants
Vous pouvez consulter un orthodontiste avec ou sans recommandation d’un dentiste traitant.